栏目分类
你的位置:爱游戏app官方网站入口 > 新闻动态 > 【专题报道】粤东首例立体定向放疗(SRS)技术在市中心人民医院成功实施,精准狙击脑转移瘤!
发布日期:2025-06-27 21:20 点击次数:164
近日,惠州市中心人民医院肿瘤放疗科成功开展粤东地区首例利用Cone实现立体定向放疗(SRS)技术(俗称“X刀”),为一名晚期肺癌脑转移患者带来新的生机。
这一技术的成功应用,不仅填补了粤东地区精准放疗领域的技术空白,也彰显了市中心人民医院在应对复杂肿瘤的硬核实力。
抗癌之路坎坷,病情急转直下
2023年,刘先生(化名)在外院体检时,发现右肺存在病变,随即前往惠州市中心人民医院进一步检查,确诊右上肺腺癌III期(即中晚期,癌细胞已经扩散至附近淋巴结)。为对抗病魔,刘先生先后接受肺癌根治手术、化疗、免疫治疗及辅助放疗,但后续未坚持复查和免疫维持治疗。
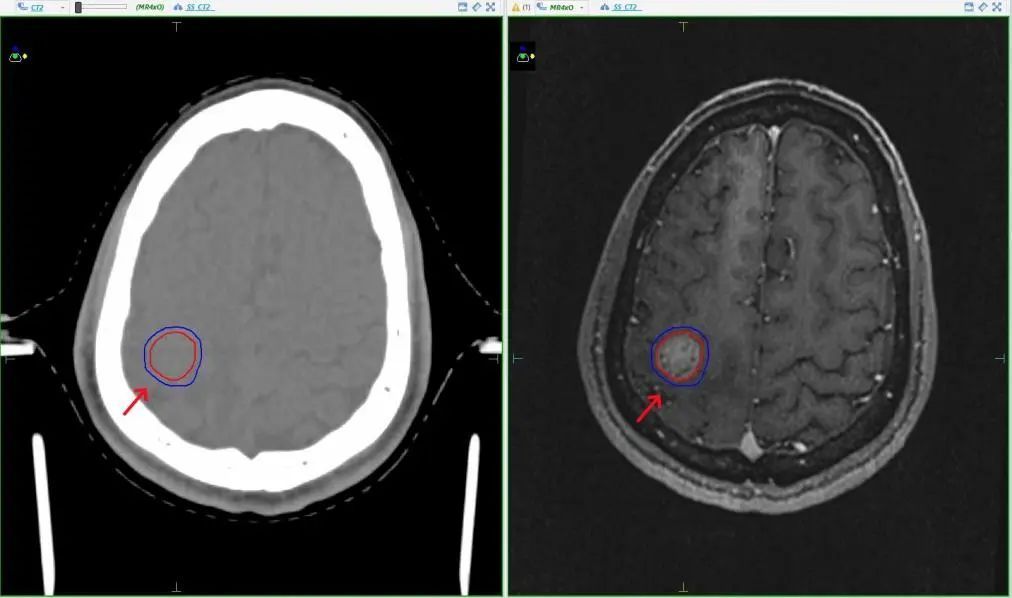
2025 年 5 月,他无意中发现右侧锁骨上窝出现约 2cm 肿物,确诊为淋巴结转移癌。更令人揪心的是,6月8日颅脑 MR 增强检查显示,他的右侧颅内出现大小约 19mm×15mm 的新增结节,考虑为转移瘤。至此,刘先生的病情已发展至晚期,且出现脑转移,频繁的头痛与肢体无力严重影响其生活质量,生命健康遭受巨大威胁。
▲MR检查显示张先生存在肺癌脑转移
多学科协作,SRS技术精准出击
面对刘先生复杂且棘手的病情,传统治疗手段已难以取得理想效果。关键时刻,惠州市中心人民医院肿瘤放疗科迅速行动,联合神经外科、医学影像科、肿瘤内科组建多学科诊疗(MDT)团队。
“传统全脑放疗对脑转移瘤治疗效果不佳,且可能导致患者认知功能损伤。”肿瘤放疗科副主任兼肿瘤放疗科一区、二区主任蓝玉宏表示。为此,专家一致决定,启用国际前沿、粤东地区首次临床应用的立体定向放疗(SRS)技术进行治疗。
SRS 立体定向放疗技术被誉为 “无形手术刀”,肿瘤放疗科可通过三维立体定位+影像实时引导,以毫米级精度锁定脑内微小转移病灶,将高能放射线高度聚焦于肿瘤组织,单次或少数几次治疗即可摧毁深部肿瘤,最大限度保护脑组织功能。
立体定向放疗(SRS)
精准狙击:误差<0.5mm,锁定微小病灶如脑转移瘤、脊髓肿瘤;
单次高效:1-5次治疗完成,避免传统放疗数月疗程;
保护认知:保护海马体等关键功能区,避免记忆减退等后遗症;
无创无痛:替代开颅手术,为体弱患者提供安全选择。
在治疗过程中,肿瘤放射治疗团队基于定位CT与MR影像融合,对刘先生脑内19mm的转移病灶进行精准定位与分析,于6月10日完成定位制膜。
随后,在蓝玉宏的精心组织指导下,江晓聪副主任医师带领放疗团队,结合刘先生脑部转移病灶的具体情况,制定个性化放疗方案。从病灶定位、计划设计到治疗实施,每一个环节都经过严格质量把控,确保治疗安全有效。
精准定位:采用热塑膜固定头部,CT/MRI影像融合重建三维靶区;
剂量雕刻:设计高剂量梯度方案,边缘剂量陡降,保护周围脑组织;
实时监控:治疗中影像引导确保射线零偏差。
经SRS立体定向放疗后,刘先生恢复良好,目前正在密切观察中。
惠州市中心人民医院成功实施粤东地区首例SRS 立体定向放疗,有效填补了粤东地区精准放疗技术空白,让脑转移瘤患者无需奔波求医,更为肺癌、肝癌、前列腺癌等多癌种转移灶提供新方案,彰显了医院在肿瘤诊疗领域的专业实力与创新能力。
从颅底鼻咽癌的VMAT精准治疗,到开展深部脑转移瘤的SRS前沿技术,惠州市中心人民医院肿瘤放疗科始终站在精准放疗最前沿。
未来,科室将紧紧围绕公立医院改革与高质量发展示范项目建设要求,持续提升肿瘤防治能力建设,深耕肿瘤治疗技术创新,为更多患者的生命健康筑牢坚实防线。
专家介绍
白力
主任医师、肿瘤放疗科学科带头人。
擅长:临床肿瘤放疗及肿瘤综合治疗。
专科时间:
南湖院区:周一上午、周四上午(特需诊疗中心)
主任医师,肿瘤放疗科副主任兼肿瘤放疗科一区、二区主任,放射肿瘤学住培基地主任,硕士生导师。
擅长:鼻咽癌、肺癌、乳腺癌、食管癌、直肠癌等常见恶性肿瘤的调强放疗(IMRT)、图像引导放疗(IGRT)、三维适形放疗(3D-CRT)及肿瘤靶向、免疫治疗。
专科时间:
南湖院区:周三上午
蓝玉宏
谢福川
副主任医师、肿瘤放疗科一区副主任、硕士生导师。
擅长:常见恶性肿瘤的放疗及综合治疗,尤其鼻咽癌、脑瘤,喉癌等头颈部肿瘤。
专科时间:
南湖院区:周二下午、周三下午
副主任医师、硕士生导师。
擅长:结直肠癌,前列腺癌,膀胱癌,宫颈癌,子宫内膜癌,鼻咽癌,乳腺癌,脑胶质瘤,食管癌及肺癌等实体瘤以及转移性肿瘤的精准综合性治疗。
专科时间:
南湖院区:周一下午、周三下午
江晓聪
供稿:肿瘤放疗科 江晓聪
供图:肿瘤放疗科 张忻宇 周欢 江晓聪
责编:社会工作部 廖云慧
审核:张娜妹 郑佩琪
编辑:钟一夫
校对:一校:陈程婷 二校:钟一夫
Powered by 爱游戏app官方网站入口 @2013-2022 RSS地图 HTML地图
